An AI generated Lighthearted MRI Report as an Old song with Lute, Recorders, and Tabor
The lyrical rhyme below was generated by Google Gemini 3 Pro. The music was generated by text prompting and from the lyrics using Suno v5. The image was generated by Nano Banana Pro. The videos at the bottom of the page were generated from the still images and text prompts in Google Veo.

MRI Report in Rhyme
If clinical radiology AI software were overtrained trained on the works of Shakespeare, including his play ‘A Comedy of Errors’, the radiological report on an older person with mild memory impairment and early-stage cerebral microvascular disease as detected by ‘white flecks‘ might read as follows along with the included dietary advice and misquotations 🙂
I. CLINICAL HISTORY
This patient comes, confusing “home” and “mart,”
With heaviness of head and fear of heart.
He feels just like a “drop” of falling rain,
That seeks his fellow drop inside the brain,
But failing there to find the other out,
He wanders “unseen” in mental doubt.
He asks if “madness” claims his weary head,
Or if some witch’s potion he hath fed.
II. FINDINGS: PARENCHYMA & VASCULATURE
The Comedy of Neurons
We gazed within the skull, that “earthly globe”,*
To find why wit hath fled beneath the robe.
No “sorcerer” hath cast a spell herein,
Nor “cozenage” of spirits acts in sin.
Instead, old “Time, with his deformed hand,”
Hath written “strange defeatures” on the land.
Upon the surface, “wasting lamps” appear,
To show the drift of many a “careful” year.
The rivers of the blood flow clear and bright,
No blockage stops the “stream,” nor dims the light.
The Circle stands patent, the flow is true,
No “dam” holds back the red, oxygen blue.
But deep within the substance, white and rough,
The plumbing there is getting rather tough.
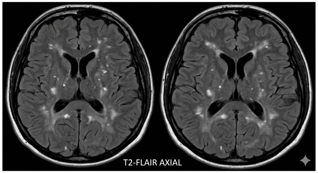
For scattered round, like stars in darkest night,
Are “white flecks”** glowing with a signal bright.
These “pale distemperatures” of subtle kind,
Have “broke the pale” and clouded up the mind
So shun unquiet meals and jealous fits,
Lest feeble age do rob thee of thy wits.
[Thy map is spotted, yes, but not decayed;
The scan is done. The doctor must be paid.]
* appears to be a misquotation error
** “white flecks” is a quotation from my text prompt. To quote Google Gemini: “White flecks” on an MRI scan, medically referred to as white matter hyperintensities (WMH), appear as bright-white spots or areas on specific MRI sequences, particularly T2-weighted and FLAIR images. These images visually represent the damage or changes in the brain’s white matter caused by cerebral microvascular disease.

Alternate Song Versions of the Clinical History
And finally from the whacky theatre of Google Veo AI video creation
Although Google Gemini has word associations that allow it to construct fluent prose about the construction and safety of MRI rooms, that information has not yet made it to virtual worlds of Google Veo 🙂 in early 2026.