The Implantation Blues
This song is a new milestone in the history of the blues and modern biomedical education. A biologically accurate AI-generated song for students of reproductive biology and medicine everywhere.

The AI-generated image above shows the first stage of human embryo implantation. The blastocyst stage has attached to the surface epithelium of the endometrium (lining of the uterus) after passage down the oviduct (or fallopian tube). The surface epithelium is composed of ciliated and microvillous cells. The endometrial glands open onto the surface and can also be seen in cross-section. Small blood vessels and some terminal capillary loops are depicted, although somewhat inaccurately.
The blastocyst breaks down the epithelium and invades the underlying stroma. The outer cells of the blastocyst then fuse to form the multinucleated syncytiotrophoblast. The syncytium invades the stroma with the aid of matrix metalloprotease enzymes and penetrates further into the glandular endometrial layer. The syncytiotrophoblast then invades the spiral arterioles and replaces the vascular endothelial (and muscle) cells that line the vessels, and so forms the interface between the placenta and the maternal blood.

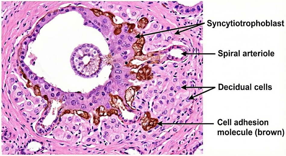
AI-generated image of a stained tissue cross-section showing invasion of the spiral arterioles by the syncytiotrophoblast
The music was AI generated from text prompts and lyrics upload to Suno (Version 5) with subsequent small edits in Audacity
Lyrics
The first version of the lyrics was generated in Google Gemini Version 3 and then one word edited to correct a biologically inaccurate metaphor.
I have got the implantation blues
Passage of the Early Embryo Along the Fallopian Tube
I’ve been floatin’ down the tube, driftin’ for so many days
Yeah, I’ve been floatin’ down the tube, driftin’ in a daze
Just a ball of lonely cells, lost in this dark sticky maze
Hatching from the Zona Pellucida
I gotta break my shell, gotta shed my zona coat
Lord, I gotta break my shell, cast off this heavy coat
If I don’t hatch on time, I’ll never keep this life afloat
Secretory Phase of the Endometrium
But then progesterone came, around and she closed up the door
Yes, sweet progesterone came around, and she closed up the door
She saw the mucins risin’, said “You gotta try to float no more”
Endometrial Mucins
The uterus got a wall, high as a mountain, slick as rain
Yeah, the uterus built a wall, high as a mountain, slick as rain
That slippery glycoprotein, drivin’ my adhesions insane
Initial Loose Attachment to the Epithelium
’Im rollin’ down the lining, lookin’ for a place to stay
I said I’m rollin’ down the lining, lookin’ for a place to stay
Got my L-selectin working, but the current pulls me away
Orientation of the Embryo
I gotta turn myself around, face my body to the wall
Yeah, gotta spin this mass around, face the inner cells to the wall
If I land on the wrong side, I ain’t gonna stick at all
Attachment of the Blastocysts to the Epithelium
We both touched our trophinin, and l went straight through
We both touched our trophinin, and l went straight through
I started growing stronger, and the lining turned blue
Syncytiotrophoblast Formation
I’m losing my borders, merging cell into cell
Yeah, I’m losing my borders, merging cell into cell
Becoming one big monster, just to break this decidual shell
Invasion of the Maternal Spiral Arteries
I found a spiral river, tight and winding slow
I found a spiral river, tight and winding slow
I gotta tear down its banks, make that red river flow
Embryogenesis Can Safely Proceed
We made it through the danger, we made it through the strife
We made it through the danger, we made it through the strife
Settled in the decidua, for the beginning of a life
Yeah, that’s the implantation blues
[The full set of lyrics is much longer]